Advancing Cancer Care Through Research & Compassion
Expert oncology care combining cutting-edge research with compassionate treatment. Schedule consultation with Clinical Oncologist specializing in Precision Oncology and personalized cancer therapy.
Why Choose Our Care
Comprehensive cancer care that puts you first, combining medical excellence with compassionate support.
1. Precision
Every cancer is unique. We utilize molecular profiling, genomic testing, and biomarker-driven approaches to identify the specific genetic and biological drivers of each patient’s cancer. This enables selection of the most effective, targeted, and evidence-based therapies that — maximizing benefit while minimizing toxicity.
2. Personalized
Each patient’s journey is different. We design treatment plans that consider not only the tumour biology but also the patient’s age, comorbidities, lifestyle, and preferences — ensuring care that is both scientifically sound and humanely tailored.
3. Comprehensive
From diagnosis to survivorship, our multidisciplinary approach integrates medical oncology, surgery, radiation, imaging, pathology, and supportive care. This ensures continuity, coordination, and compassionate.
Ready to Begin Your Journey to Recovery?
Take the first step toward personalized cancer care. Schedule your consultation today. Key Treatment Areas **Breast Cancer **Lung Cancer **Ovarian & Gynecologic Cancer **Gastrointestinal Cancer **Genitourinary (Prostate, Bladder, Kidney) **Neuro-oncology “Learn how we tailor treatment using biomarkers, targeted agents, and immunotherapy.”
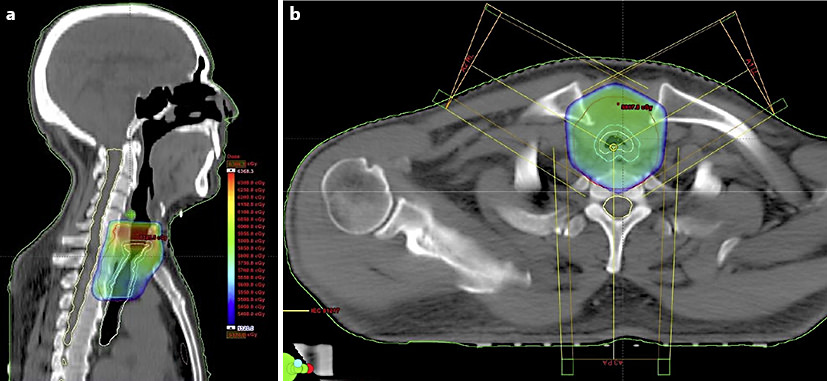
Schedule ConsultationTracheal Adenocarcinoma Treated with Adjuvant Radiation: A Case Report and Literature Review
There are many studies showing the benefit of postoperative irradiation therapy in primary tracheal malignancies such as SCCs and ACCs. However, little experience has been shared in the case of primary adenocarcinomas of the trachea, the tumor type described in our report. The prognosis of patients with malignant tumors of the trachea remains gloomy, and long-term median survival of tracheal adenocarcinoma patients undergoing combined modalities is unknown to us. Primary adenocarcinoma of the trachea needs to be diagnosed at an early stage, and combined multimodal approaches may be explored to attain an extended median survival.
Read Full Publication
Showing 2 to 2 of 2 research publications
Stories of Hope & Healing
Real patients sharing their journey of recovery and the compassionate care they received throughout their treatment. Every story represents a life transformed and a family given hope.
Mrs Z
Tracheal SCC Survivor
NA
Mrs X
mHCC Survivor
NA
Mrs FI
mOvarian Carcinoma Survivor
NA
Showing 1 to 3 of 5 testimonials